Orthodontic Case Studies in Chattogram
– Real Smile Transformation
দাঁত বাঁকা, সামনে বের হয়ে থাকা, বা ফাঁকা থাকা—
এই সমস্যাগুলো শুধু সৌন্দর্য না, আত্মবিশ্বাসেও প্রভাব ফেলে।
At Dental Corner & Orthodontics Braces Center,
we treat these problems with proper orthodontic planning and precision.
আজকে আমরা কয়েকটি real patient case share করবো,
যাতে আপনি বুঝতে পারেন braces treatment আসলে কিভাবে কাজ করে।
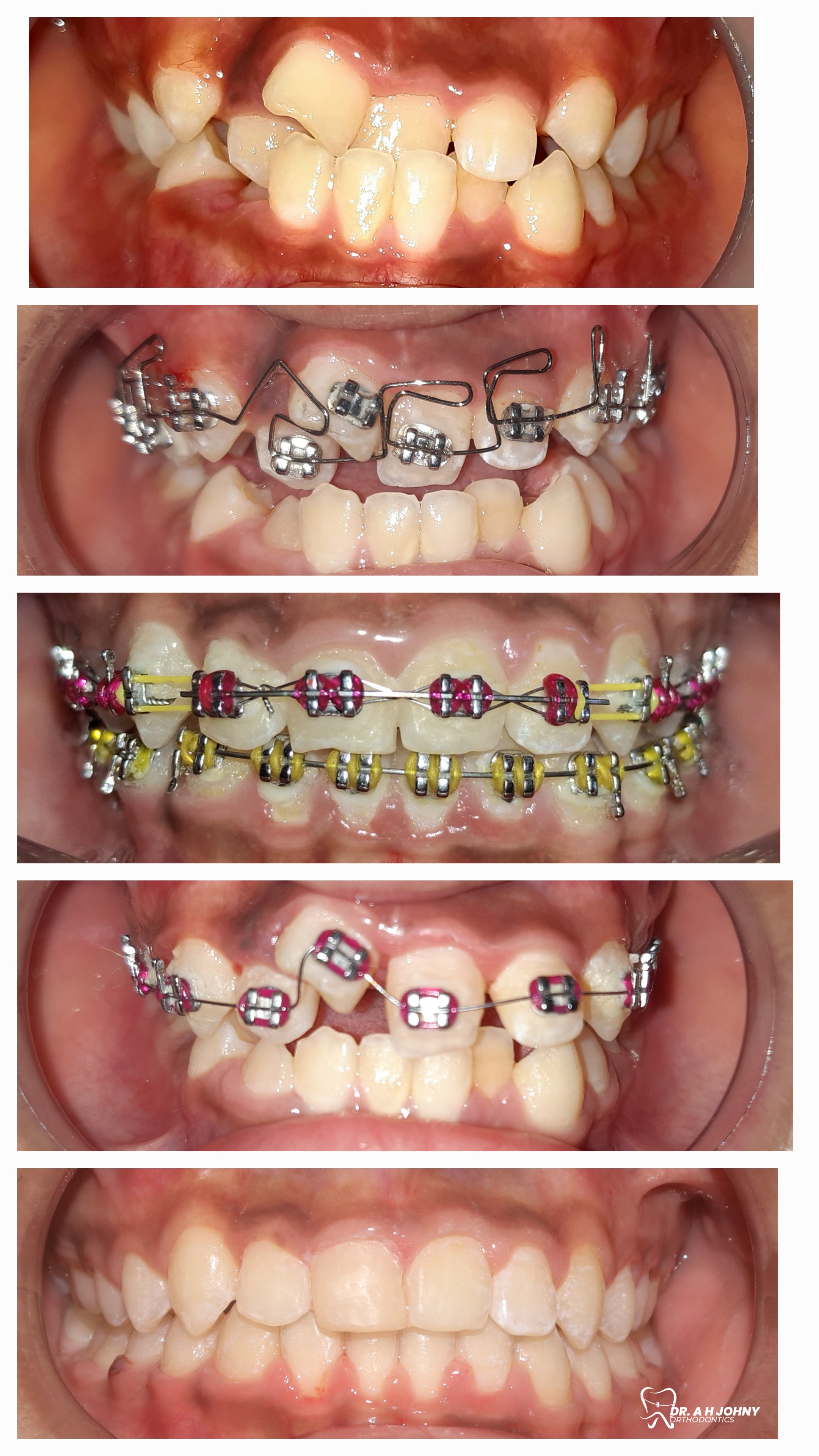
🦷 Case 1: Crowding Correction (Teeth Irregularity)
Patient Details:
Age: 15 years
Chief Complaint: দাঁত অনেক বেশি বাকা ও overlap করছিল
Diagnosis:
Moderate crowding
Class I malocclusion
Treatment Plan:
Fixed braces (metal)
Non-extraction approach
👉 Learn more:
➡️ Braces Treatment in Chattogram (https://www.dentalcornerbd.com/)
Treatment Duration:
Total: 18 months
Result:
Perfect alignment achieved
Smile significantly imprPhoto

“Crowding correction braces treatment Chattogram – Dental Corner”
😁 Case 2: Bimaxillary Proclination (Forward Teeth)
Patient Details:
Age: 22 years
Complaint: “দাঁত সামনে বের হয়ে গেছে, হাসতে অস্বস্তি লাগে”
Diagnosis:
Bimaxillary proclination
Lip incompetence
Treatment Plan:
Extraction of premolars
Fixed orthodontic treatment
Anchorage control maintained
Treatment Duration:
20 months
Result:
Teeth retracted properly
Facial profile improved
Confident smile
👉

“Bimaxillary proclination braces result Chattogram”
(https://www.dentalcornerbd.com/blog/new-one)
👨⚕️ Case 3: Adult Braces Treatment
Patient Details:
Age: 30 years
Complaint: “এই বয়সে braces করলে কি কাজ হবে?”
Diagnosis:
Mild crowding
Aesthetic concern
Treatment Plan:
Ceramic braces (less visible)
👉 Explore option:
➡️ Adult Braces in Chattogram (https://www.dentalcornerbd.com/blog/p)
Treatment Duration:
16 months
Result:
Teeth aligned
Patient very happy with smile

“Adult braces Chattogram before after”
✨ Case 4: Clear Aligner Treatment (Invisible Option)
Patient Details:
Age: 25 years
Complaint: Invisible treatment needed
Diagnosis:
Mild spacing
Treatment Plan:
Clear aligners
👉 Learn more:
➡️ Clear Aligners in Chattogram (https://www.dentalcornerbd.com/blog/h)
Treatment Duration:
12 months
Result:
Comfortable treatment
Almost invisible process
Great smile outcome

“Clear aligner treatment Chattogram result”
🔍 What We Learn From These Cases
এই case গুলো থেকে কিছু গুরুত্বপূর্ণ বিষয়:
সব patient এর treatment একরকম না
Proper diagnosis খুব গুরুত্বপূর্ণ
Orthodontist এর planning outcome নির্ধারণ করে
Patient cooperation থাকলে result আরও ভালো হয়
🧠 Why Specialist Orthodontic Treatment Matters
অনেকেই general dentist এর কাছে braces করে, কিন্তু সব case simple না।
Orthodontic treatment requires:
Proper diagnosis
Biomechanics understanding
Anchorage control
👉 Read more:
➡️ Best Orthodontist in Chattogram (https://www.dentalcornerbd.com/blog/p)
📞 Start Your Treatment Today
আপনার যদি দাঁত বাঁকা, সামনে বের হওয়া বা spacing problem থাকে,
তাহলে এখনই সঠিক সময় treatment শুরু করার।
📍 Location: Chattogram
📞 Call: [01961920018]
📅 Appointment: (https://www.dentalcornerbd.com/appointment)
👉 Visit: Braces Treatment page
👉 Visit: Case Studies pagehttps://www.dentalcornerbd.com/
